Skafoid, bilek kemikleri arasında yer alan küçük ama kritik bir kemiktir. Başparmağa yakın tarafta, el bileğinin tam ortasında bulunur. Bileğin düzgün hareket etmesini sağlar ve düşme anında vücudun yükünü taşıyan ilk noktalardan biridir. Özellikle elin üzerine düşüldüğünde kolayca kırılabilir. Küçük olması onu önemsiz yapmaz, tam aksine geç fark edilen bir Skafoid kırığı ileride ciddi sorunlara yol açabilir.
Skafoid Kırığı Nasıl Oluşur?
Genellikle elin üzerine düşme sonucu meydana gelir. Bir spor kazası, merdivenden düşme ya da ani bir çarpma sonrası bilekte şiddetli ağrı hissedilir. Ancak kırık çok net şekilde belirti vermediği için çoğu kişi bu durumu sadece bir incinme ya da burkulma zanneder. Bu da tedavinin gecikmesine sebep olur.

Skafoid Kırığının Belirtileri Nelerdir?
Skafoid kırığı bazen röntgende bile hemen görünmez. Ancak şu belirtiler varsa dikkatli olmakta fayda var:
-
Başparmak ile bilek arasındaki bölgede ağrı ve hassasiyet
-
El hareketlerinde kısıtlılık
-
Şişlik ve hafif morarma
-
Bileğe yük bindiğinde artan ağrı
-
Eşyaları kavrarken zorlanma
Bu belirtiler birkaç gün geçmesine rağmen azalmıyorsa mutlaka bir ortopedi uzmanına başvurulmalıdır.
Tedavi Yöntemleri Nelerdir?
Tedavi, kırığın yerine, ciddiyetine ve fark edilme süresine göre değişiklik gösterir:
-
Alçı Uygulaması: Eğer kırık çok oynamamışsa, genellikle dirseğe kadar uzanan bir alçı 6-12 hafta boyunca uygulanır. Bu süreçte hareket sınırlanır ve kemik kendi kendine iyileşir.
-
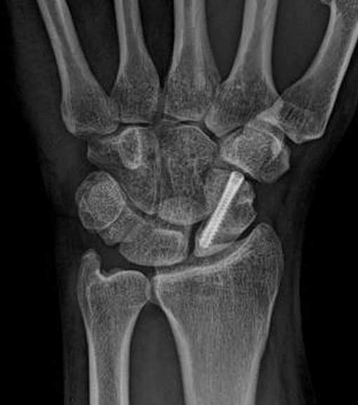
Cerrahi Müdahale: Kırık yer değiştirmişse ya da uzun süre fark edilmemişse, ameliyat gerekebilir. Genellikle vida veya çiviyle kemik sabitlenir.
-
Fizik Tedavi: Alçı çıktıktan sonra, bilek kaslarını ve hareket kabiliyetini yeniden kazanmak için fizik tedavi gerekebilir.
Erken Teşhis Neden Hayati Önem Taşır?
Skafoid kemiğinin kan dolaşımı zayıftır. Bu yüzden kırık geç fark edilirse kaynamaması ya da yanlış kaynaması gibi sorunlar yaşanabilir. Uzun vadede bilekte hareket kısıtlılığı, kronik ağrı ve hatta kireçlenme görülebilir. Bu yüzden bilek ağrısı basit bir sorun gibi görünse bile, geçmeyen ağrılarda mutlaka röntgen ya da MR çekilmelidir.

Sporcular ve Gençler Daha Fazla Risk Altında
Skafoid kırıkları özellikle gençler ve aktif spor yapan kişilerde daha sık görülür. Kaykay, paten, basketbol, voleybol gibi sporlar risk faktörüdür. Bu yüzden düşme anlarında bileği korumak, koruyucu ekipman kullanmak ve ani darbelerde bileği zorlamamak önemlidir.
Küçük Ama Etkili Bir Kırık
Skafoid kırığı küçük bir kemikte oluşmasına rağmen, doğru tedavi edilmediğinde büyük sonuçlar doğurabilir. Erken tanı ve doğru müdahale ile bu riskler en aza indirilebilir. Eğer siz de bileğinizde inatçı bir ağrı hissediyorsanız, “geçer” diye beklemek yerine bir uzmana danışmanızda fayda var.





