Beyin tümörleri, hayatı doğrudan etkileyen ciddi sağlık sorunları arasında yer alıyor. Son yıllarda ise “uyanık beyin tümörü ameliyatı” olarak adlandırılan özel bir yöntemle, hastaların hem güvenliği hem de yaşam kalitesi korunabiliyor. Peki, uyanık beyin tümörü tam olarak nedir ve ameliyat süreci nasıl işliyor?

Uyanık Beyin Tümörü Nedir?
Uyanık beyin tümörü, beynin konuşma, hareket, hafıza ve duyular gibi kritik bölgelerinde yer alan tümörler için kullanılan bir tabirdir. Bu bölgelerde yapılan operasyonlar sırasında, hastanın bilinci açık tutulur çünkü doktorlar ameliyat sırasında hastadan konuşmasını, hareket etmesini veya belirli komutları yerine getirmesini isteyerek kritik işlevleri korur.
Uyanık Beyin Tümürü Ameliyatının Amacı
Bu ameliyatın temel amacı, tümörü mümkün olduğunca tamamen çıkarmak, ancak beynin hayati işlevlerini zarar görmeden korumaktır. Özellikle konuşma, motor fonksiyonlar veya görme gibi hayati yetenekler üzerinde risk oluşturan tümörlerde bu yöntem tercih edilir.
Ameliyat Nasıl Yapılır?
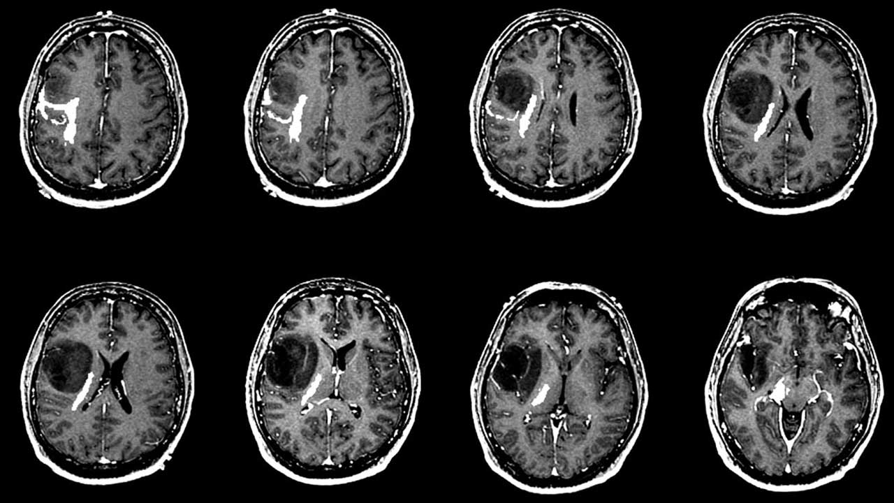
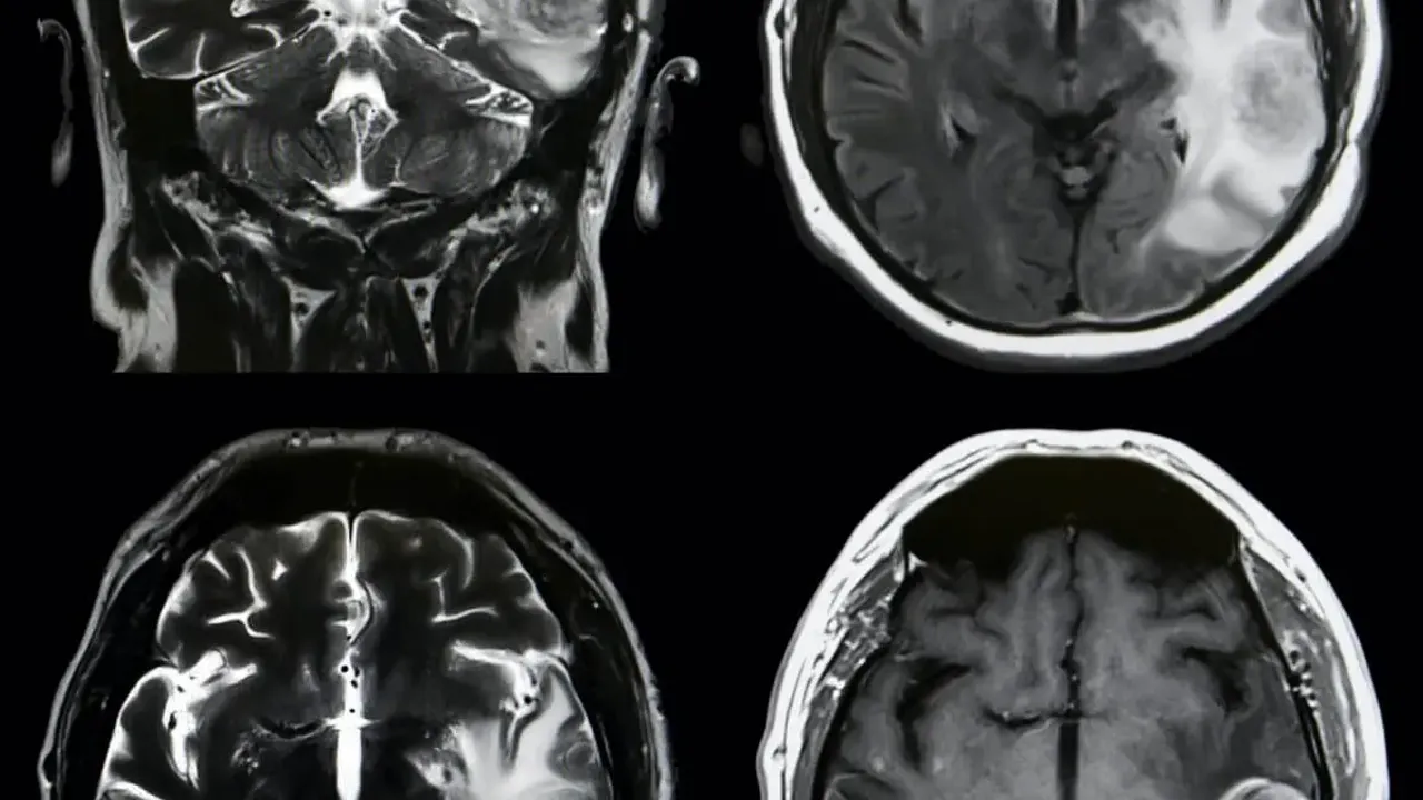
- Hazırlık: Ameliyat öncesinde hasta detaylı şekilde incelenir. MR ve fonksiyonel görüntüleme yöntemleriyle tümörün konumu belirlenir.
- Anestezi: Ameliyatın başında hasta lokal veya hafif sedasyon altında hazırlanır. Operasyon sırasında bilinçli tutulur.
- Tümörün çıkarılması: Cerrah, özel aletlerle tümörü çıkarırken, hastadan komutlar alır. Örneğin konuşma veya el hareketleri istenebilir. Bu sayede hayati işlevlerin zarar görmesi önlenir.
- Kontrol: Ameliyat sırasında ve sonunda tümörün tamamen çıkarıldığı ve beynin kritik bölgelerinin korunduğu kontrol edilir.

Avantajları
- Beynin kritik bölgelerine zarar verme riski azalır
- Hastanın operasyon sırasında direkt geri bildirim vermesi sağlanır
- Ameliyat sonrası iyileşme süreci genellikle daha hızlıdır
Kimler Için Uygundur?
Uyanık beyin tümörü ameliyatı genellikle:
- Konuşma, motor veya duyusal alanlara yakın tümörler
- Yaş ve genel sağlık durumu ameliyata uygun hastalar
- Cerrahi risklerin dikkatli şekilde değerlendirildiği durumlarda uygulanır
Uyanık beyin tümörü ameliyatı, modern beyin cerrahisinin önemli bir yöntemi olarak öne çıkıyor. Bu sayede hastalar hem tümörden kurtuluyor hem de günlük yaşam aktivitelerini olumsuz etkilemeden iyileşebiliyor. Doktor ve hasta iş birliğiyle gerçekleştirilen bu özel ameliyat, riskli bölgelerde güvenli bir çözüm sunuyor.





