Elazığ’da 3 yaşındaki bir çocuk, oyun oynarken yuttuğu 19 adet mıknatıs nedeniyle ölüm tehlikesi atlattı. Fırat Üniversitesi Hastanesinde yapılan başarılı operasyonla mıknatıslar çıkarıldı. Küçük çocuğun sağlık durumunun iyi olduğu öğrenildi.
Minik çocuk ölümden döndü
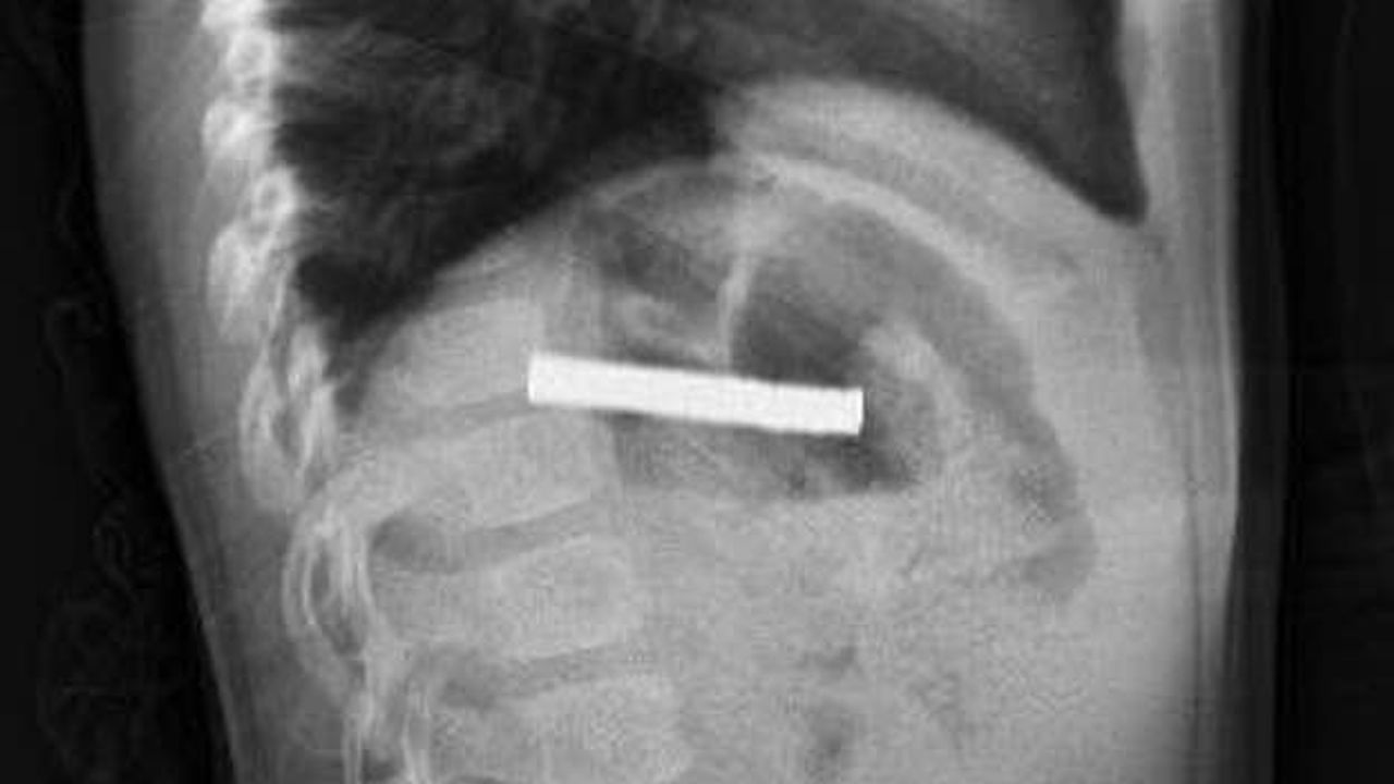
Edinilen bilgilere göre, Erzurum’da yaşayan 3 yaşındaki çocuk, evde oynarken 19 adet küçük mıknatısı yuttu. Kısa süre sonra rahatsızlanan çocuk, ailesi tarafından hastaneye götürüldü. İlk müdahalenin ardından durumun ciddiyeti fark edilince küçük hasta Elazığ’daki Fırat Üniversitesi Hastanesine sevk edildi.

19 mıknatıs endoskopik yöntemle çıkarıldı
Fırat Üniversitesi Çocuk Gastroenteroloji Hepatoloji ve Beslenme Bilim Dalı Başkanı Prof. Dr. Yaşar Doğan, hastayı acilen ameliyata aldı. Yapılan endoskopik işlemle çocuğun yemek borusuna ve mide girişine yapışan 19 mıknatıs başarılı şekilde çıkarıldı.
Prof. Dr. Doğan, “Mıknatıslar uzun süre yemek borusunda kalınca ciddi zedelenmeler oluşmuştu. Ancak müdahale sayesinde kalıcı bir hasar oluşmadan hastamızı sağlığına kavuşturduk” dedi.
Sağlık durumu iyi, taburcu edildi
Operasyonun ardından tedavisi tamamlanan minik çocuk taburcu edildi. Uzmanlar, özellikle mıknatıs, pil ve benzeri küçük parçaların çocukların erişemeyeceği yerlerde tutulması gerektiği konusunda aileleri uyardı.
Yaşanan olay, küçük çocuklarda ev kazalarına karşı dikkatli olunması gerektiğini bir kez daha gözler önüne serdi.







