Kayseri’de İl Jandarma Komutanlığı ekipleri tarafından düzenlenen operasyonda, yutma yoluyla mide ve bağırsaklarında uyuşturucu taşıyan 3 yabancı uyruklu şüpheli yakalandı.
Edinilen bilgiye göre, jandarma ekipleri İran’dan temin ettikleri uyuşturucuları iç bedene gizleyerek Kayseri’ye getirmeye çalışan A.O., M.S. ve P.S. isimli şahısları teknik takibe aldı. Ankara yolu üzerinde durdurulan araçta bulunan şüpheliler gözaltına alındı.
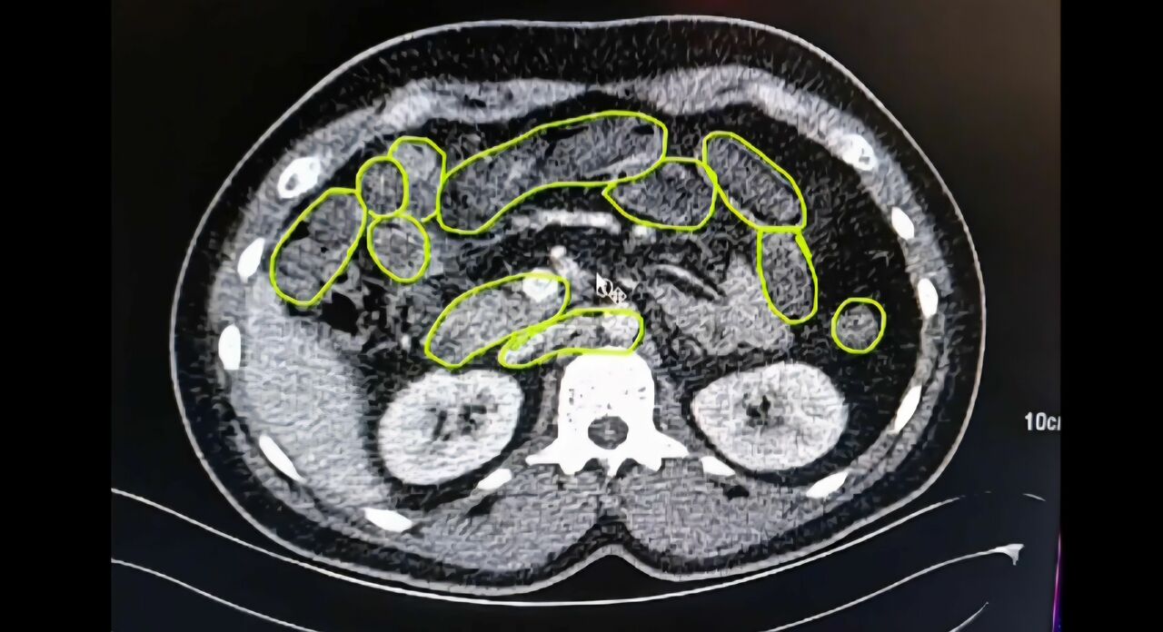
Araçta ve üzerlerinde yapılan aramalarda 20 gram uyuşturucu madde ile 117 adet uyuşturucu hap ele geçirildi. Şüpheliler, iç beden kontrolü için Kayseri Şehir Hastanesi’ne sevk edildi. Yapılan muayenelerde, mide ve bağırsaklarında kapsül şeklinde çok sayıda yabancı madde tespit edildi.

Vali Gökmen Çiçek’ten Sert Mesaj
Kayseri Valisi Gökmen Çiçek, başarılı operasyon sonrası şu açıklamayı yaptı:
“Kayseri İl Jandarma Komutanlığımız, gençlerimizi zehirlemek isteyen alçaklara yine fırsat vermedi. Uyuşturucuyu ellerinde ve midelerinde getirmeye çalıştılar. Ama ne yaparlarsa yapsınlar, bu şehirde uyuşturucu satamayacaklar. Jandarmamızı ve Başsavcılığımızı tebrik ediyorum.”
Olayla ilgili soruşturma Kayseri Cumhuriyet Başsavcılığı koordinesinde sürdürülüyor.





